Nicole E Pagonis DDS
Dentistry in Los Gatos, CA

As of November 1, 2025. 

Masks will be required inside the office for your appointment. We look forward to seeing you! 

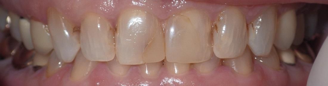
Smile Enhancement, Lab-Fabricated Veneers

Years of old composite fillings, stains, and discoloration led this patient to Dr. Pagonis. Lab-fabricated veneers took this patient's smile from tired to terrific. Dr. Pagonis and the expert dental team at our Los Gatos, CA dental office took great care to ensure that a unique natural result was the end result with lab-fabricated veneers.

Related Services:

Veneers
Stained teeth before veneers l Dentist Los Gatos CA Brilliant smile after veneers l Veneers Los Gatos CA
Not finding what you need?
If you have difficulty using our website, please email us or call us at (408) 399-3920
View the ADA Accessibility Statement
Email: contact@doctorpdentistry.com
Privacy Policy